Hair strands icon
محاسبه هوشمند تعداد تار مو

رایگان تعداد تارهای لازم برای کاشت مو رو حساب کن

Hair strands icon
محاسبه bmi بدن

وزن ایده آل بر اساس قد و سن رو محاسبه کن.

Hair strands icon
هزینه لیزر موهای زائد

بر اساس ناحیه مورد نظر هزینه لیزر موهای زائد رو حساب کن

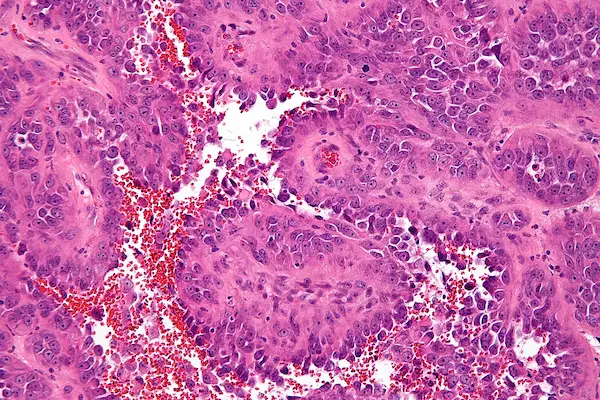
آنژیوسارکوما

آنژیوسارکوم

آنژیوسارکوم (Angiosarcoma) نوعی سرطان نادر است که از سلول‌های اندوتلیال تشکیل می‌شود. سلول‌های اندوتلیال سلول‌هایی هستند که سطح داخلی رگ‌های خونی و لنفاوی را پوشانده‌اند. آنژیوسارکوما می‌تواند در هر نقطه از بدن ایجاد شود، اما بیشتر در اندام‌های بزرگ مانند کبد، طحال، ریه‌ها و قلب دیده می شود. این بیماری همچنین می‌تواند در استخوان‌ها، پوست و بافت‌های نرم یافت شود. علت آنژیوسارکوما ناشناخته است، اما برخی از عوامل ممکن است خطر ابتلا به این بیماری را افزایش دهند، از جمله:

  • قرار گرفتن در معرض مواد شیمیایی
  • سابقه خانوادگی
  • علائم آنژیوسارکوما به محل تومور بستگی دارد. برخی از علائم شایع عبارتند از:
  • تومور یا توده: اولین علامت آنژیوسارکوما اغلب وجود یک تومور یا توده در ناحیه آسیب دیده است.
  • درد: تومور ممکن است باعث درد در ناحیه آسیب دیده شود.
  • خونریزی: تومور ممکن است باعث خونریزی شود، به خصوص اگر در رگ‌های خونی یا لنفاوی باشد.
  • خستگی: افراد مبتلا به آنژیوسارکوما ممکن است احساس خستگی یا ضعف کنند.
  • کاهش وزن: افراد مبتلا به آنژیوسارکوما ممکن است بدون دلیل وزن کم کنند.
  • تشخیص آنژیوسارکوما می‌تواند دشوار باشد، زیرا علائم آن می‌تواند شبیه به علائم سایر بیماری‌ها باشد. پزشک برای تشخیص این بیماری ممکن است از روش‌های زیر استفاده کند:
  • معاینه فیزیکی: پزشک ناحیه آسیب دیده را معاینه می‌کند تا به دنبال تومور یا توده باشد.
  • آزمایشات تصویربرداری: آزمایشات تصویربرداری مانند سونوگرافی، CT اسکن یا MRI می‌توانند به پزشک کمک کنند تا تومور را ببیند و اندازه و محل آن را تعیین کند.
  • بیوپسی: در بیوپسی، نمونه کوچکی از بافت تومور برداشته و برای بررسی زیر میکروسکوپ به آزمایشگاه فرستاده می‌شود.

درمان آنژیوسارکوما به محل، اندازه و مرحله سرطان بستگی دارد. گزینه های درمانی ممکن است شامل موارد زیر باشد:

  • جراحی
  • پرتودرمانی
  • شیمی درمانی
  • ایمونوتراپی

همچنین بخوانید...

اسید میوه
اسکراب
اکسیژن‌ رسانی پوست
آرتریت روماتوئید
اینترتریگو
الکترولیز
اوزون تراپی
آلوپسی جهانی

فرم درخواست مشاوره رایگان و رزرو نوبت​

جهت مشاوره رایگان و رزرو نوبت فرم زیر را تکمیل نمایید، کارشناسان ما در اسرع وقت با شما تماس می گیرند.

فرم پاپاپ