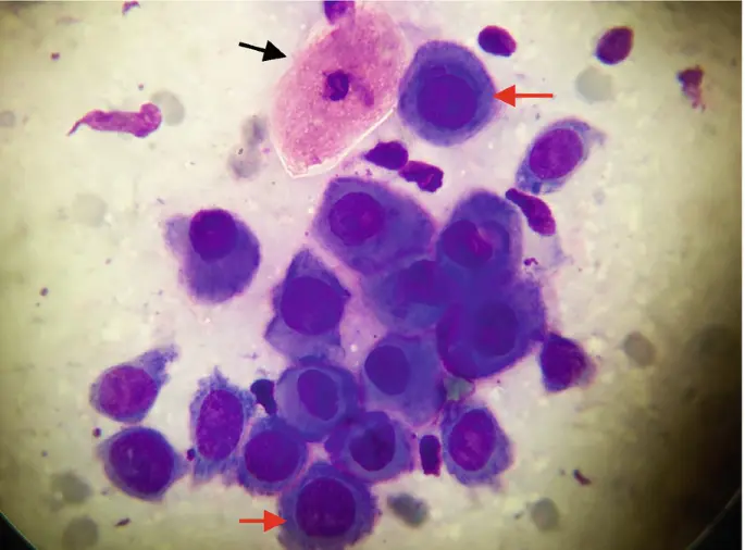
اکانتولیز (Acantholysis) یک بیماری خود ایمنی است که باعث ایجاد تاول های بزرگ روی پوست و غشاهای مخاطی میشود. این تاول ها به دلیل جدایی سلول های پوستی در لایه ای به نام اپیدرم ایجاد می شوند. اکانتولیز در افراد مسن شایع تر است و به طور متوسط افراد بالای 65 سال را درگیر می کند. زنان بیشتر از مردان به این بیماری مبتلا می شوند. دو نوع اصلی از این بیماری وجود دارد به نامهای پمفیگوس فولگار و پمفیگوس ساده که پمفیگوس فولگار شدیدتر است. علت دقیق بیماری اکانتولیز ناشناخته است، اما تصور میشود که ترکیبی از عوامل ژنتیکی و محیطی در ایجاد آن نقش دارند. در افراد مبتلا به اکانتولیز بولوز، سیستم ایمنی بدن به اشتباه به سلولهای سالم پوست حمله میکند. این امر باعث التهاب و جدایی سلولهای پوستی میشود. علامت اصلی این بیماری، ایجاد تاولهای بزرگ، شکننده و پر از مایع است. این تاولها معمولاً روی تنه، بازوها و پاها ایجاد می شوند، اما ممکن است در دهان، گلو، چشم ها و اندام تناسلی نیز ظاهر شوند. تاولها معمولاً دردناک یا خارش دار نیستند. علائم دیگر اکانتولیز بولوز ممکن است شامل موارد زیر باشد:
- خشکی و ترک خوردن پوست
- قرمزی و التهاب پوست
- زخم شدن پوست
در حال حاضر هیچ آزمایشی برای تشخیص قطعی بیماری اکانتولیز وجود ندارد. با این حال، پزشک میتواند با معاینه پوست و سابقه پزشکی فرد و یا نمونه برداری، این بیماری را تشخیص دهد. درمان این بیماری معمولاً شامل داروهایی برای سرکوب سیستم ایمنی بدن و کاهش التهاب است. داروهای مورد استفاده برای درمان ممکن است شامل موارد زیر باشد:
- کورتیکواستروئیدها
- داروهای سرکوب کننده سیستم ایمنی
- آنتی بیوتیک ها
با توجه به اینکه این بیماری درمان قطعی ندارد، احتمال بهبودی قطعی از این بیماری از فردی به فرد دیگر متفاوت است. برخی از افراد ممکن است با درمان دارویی بتوانند بیماری خود را به خوبی کنترل کنند، در حالی که برخی دیگر ممکن است دورههای عود بیماری را تجربه کنند. اکانتولیز بولوز یک بیماری جدی است، اما با درمان مناسب، اکثر افراد مبتلا به این بیماری میتوانند زندگی طولانی و پرباری داشته باشند.









