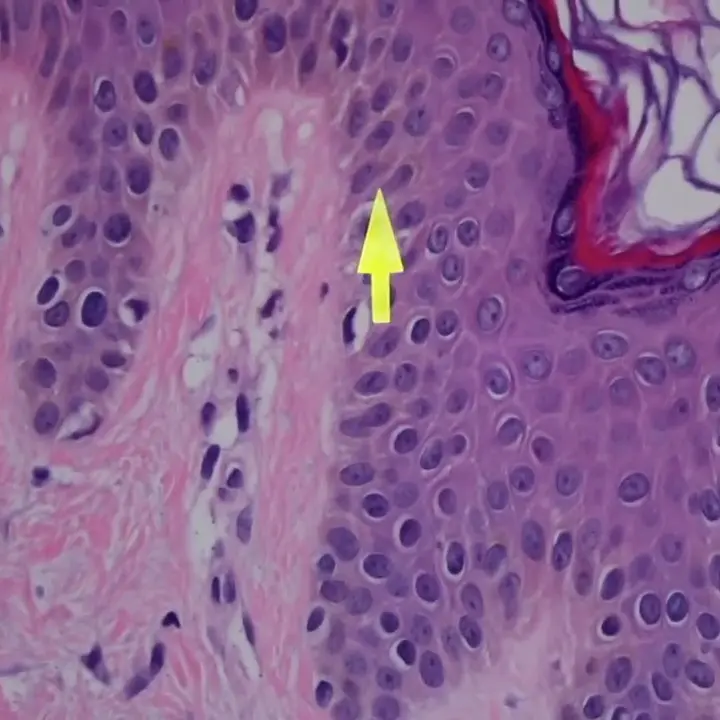
ملانوسیتها (Melanocyte) سلولهای تخصصی هستند که در بسیاری از نقاط بدن مانند لایه اپیدرم پوست، لایه میانی چشم، گوش داخلی، اپیتلیوم واژن، مننژها، استخوانها و قلب یافت میشوند. سلول ملانوسیت وظیفه تولید ملانین که رنگدانه طبیعی بدن است را بر عهده دارند.
ملانین در اندامک های خاصی به نام ملانوزوم در ملانوسیت سنتز می شود. ملانوزوم ها سپس به کراتینوسیت های مجاور (سلول های پوست) منتقل می شوند که رنگدانه را در سراسر لایه های پوست پخش می کنند. میزان ملانین تولید شده توسط ملانوسیتها رنگ پوست را تعیین می کند. افرادی که رنگ پوست تیرهتری دارند، ملانین بیشتری در پوست خود نسبت به افرادی که رنگ پوست روشنتری دارند، دارند. ملانین همچنین نقش محافظتی در بدن دارد. اشعه ماوراء بنفش (UV) خورشید را جذب می کند و به محافظت از پوست در برابر آسیب کمک می کند.








